医療法人仙頭会 せんとう歯科

ジルコニアクラウンによる前歯の治療 | 歯科は高知県、安芸市の医療法人仙頭会 せんとう歯科 | 治療症例

WEB予約 お問い合わせ 求人応募

治療症例

治療症例

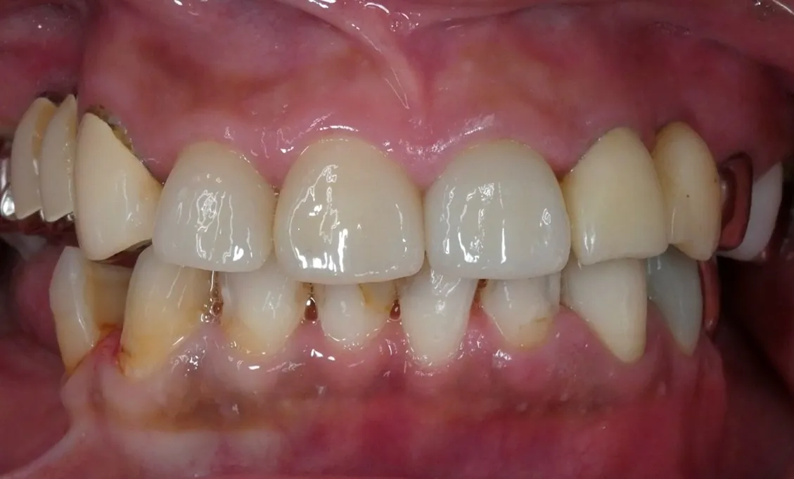
ジルコニアクラウンによる前歯の治療

当店でご利用いただける電子決済のご案内

下記よりお選びいただけます。